インプラント治療を
断られた方へ

他院で「インプラントは難しい」と言われてしまった方へ。
インプラント治療は骨の量や全身の健康状態など、さまざまな理由で断られるケースがありますが、リリアーナデンタルクリニックGINZAでは多角的な診査と技術により、可能性を広げる治療をご提案しています。
「できない」と言われたその先に、新たな選択肢があるかもしれません。
“できない”を“できる”に
変える治療技術
インプラントは誰でもすぐに受けられる治療ではありません。
例えば骨や歯茎が足りない場合、まずはその状態を改善してインプラントを埋め込むのに充分な口腔内の状態を保つことが必要になります。
当院で対応している治療方法をご紹介します。

CTG(結合組織移植術)
CTGとは、インプラント治療を行う上で歯茎(歯肉)が足りない人に対して行う治療の一つです。
他の箇所から歯肉の一部分を採取して、厚みが足りない箇所へ移植します。口蓋(上顎の内側)から歯茎を採取することが多いです。
移植した歯肉は周囲の組織に生着しやすく、術後の状態が安定しやすいことが特徴です。また歯茎の仕上がりも自然になります。

GBR(骨誘導再生法)
GBRとは、インプラント治療を行う上で骨の厚みや幅が足りない人に対して行う治療の一つです。
骨を再生させる箇所を決めて、必要な空間を作りその箇所に骨再生誘導薬剤を注入します。
GBRは骨補填材を使用することで、従来の自家骨移植に比べて術後の身体への負担を軽減することができます。加えて、術後の合併症に対しても、従来の自家骨移植よりも比較的対応が容易です。
実際の難症例
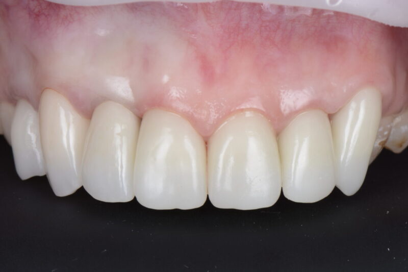
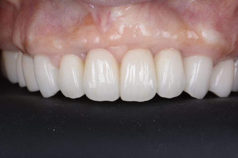
Case01右上の前歯の付け根が黒いのを治したい
BEFORE
AFTER
- 治療
- 右上前歯 当該歯が歯根破折を起こしており保存不可能。抜歯しか無いと診断。
抜歯即時インプラント埋入+CTG(コネクティブティッシュグラフト)にて審美的に欠損修復。 - 費用
- 55万
- 治療期間
- 4ヶ月
- リスク・副作用
- 治療難易度が高いので熟達した技術が必要。上手く出来ないと歯茎が下がりインプラントが露出してしまう。
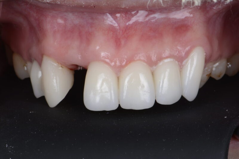
Case02右上側切歯破折により、他院からインプラント治療依頼
BEFORE
AFTER
- 治療
- 右上側切歯の抜歯即時インプラント埋入+CTG(コネクティブティッシュグラフト)
- 費用
- 55万
- 治療期間
- 4ヶ月
- リスク・副作用
- 患者様の審美要求に応えられる治療技術が必要。
Case03審美・咬合回復
BEFORE
AFTER
- 治療
- 前医の治療が全てにおいて失敗しておりインプラントを含めて補綴・インプラントの再修復。
クラウンレングスニングと複数回のGBR(骨増生)とCTG(歯茎移植)とセラミッククラウンによる補綴再生。 - 費用
- 500万
- 治療期間
- 15ヶ月
- リスク・副作用
- 他院治療により痛めつけられた歯が弱っている。
インプラントの位置が3次元的にめちゃくちゃである。
元々食い縛りが酷いため歯がダメにならないように夜間マウスピースにより歯軋り食い縛りによる補綴物の破壊を予防。
信頼いただけるカウンセリングを心がけています
他院で「難しい」と言われた経験がある方ほど、じっくりと話せる時間が必要だと考えています。
当院では、院長が直接カウンセリングを担当し、治療の可能性だけでなく、患者様の気持ちにも丁寧に向き合います。
不安や疑問、諦めかけていた想いも、遠慮なくお話しください。
一人ひとりの声に耳を傾けながら、納得できる選択肢を一緒に探していきます。
院長自身が発信しているTikTokでは、カウンセリング方法や患者様との向き合い方についてもご紹介しています。
よろしければ、ぜひご覧ください。
@dr_rei_nakazawa カウンセリングで患者さんに必ず伝えていること。 #歯医者 #歯科医院 #歯科医師 ♬ オリジナル楽曲 – れい先生(中澤 玲)|銀座の歯科医院
