ガミースマイルを治したい方の全てに読んで欲しい話
当院には年間を通してガミースマイル治療を望む患者様が来院します。
同時に他院で行った施術に納得出来てない患者様も多くいらっしゃいます。
そんな審美治療に特化した当院では必ず最初にカウンセリングを行い診査・診断・治療方針決定・費用までを60分かけて詳しくお伝えしています。一番大切なのは患者様の心の奥底にある最終的になりたいイメージと術者である私がそのイメージを完全な形で聞き出す事です。
歯科医師としとても大切な能力であると同時に患者様とイメージ共有できる事は最終結果のクオリティにも直結します。貴女がもしガミースマイルに悩んでおり美しい結果を望むのであれば主治医先生に率直に貴女の心からの願いを伝えましょう。その時主治医先生が話す事と貴女の理想像にズレがある場合や貴女の話しに聞く耳を持たず主治医の主観と治療法のみを伝えようとしてくるならば残念ながら貴女の理想とする結果には程遠い事になるでしょう。審美歯科治療、特にガミースマイル治療は歯科治療の最難関です。何故ならば我々歯科医は患者様が望むスマイルや歯の形状・色・噛み合わせ・左右対称性・歯茎の健康・歯茎の形・歯茎の出具合いそれら全てを顔とのバランス、笑顔と噛み合わせと更にはリップライン、発音にまで完璧にマッチさせなければならないのです。歯科医がどんなに医学的に正しいと主張していようがどんなに正しい知識を振りかざそうが患者様が上記の全てに満足していなければ審美歯科治療は成功とは言えないのです。そう考えるとガミースマイル治療は本当に難しい事がわかります。もちろん患者様が妥協するのであれば一応の解決にはなるかも知れません。その時点で審美歯科治療ではなく歯科治療(医学的に正しい治療だが患者様の主観は考慮されない)と言えるでしょう。
上記の事を踏まえてガミースマイル治療について書いていきます。
ガミースマイルの診断と治療
ここでは医学的に難しい話しは避けてどの患者様でも分かるように記します。大別して5種類の方に分かれます。多い人順に書いてあります。
1 顔面骨格特に鼻の下から上前歯の先端までの距離が長い人
1番多い患者様です。鼻の下から前歯の先端まで長い人は上口唇のスマイル時引き上がり量が普通だったとしても元の歯茎部分が長い(広い)為 歯だけではなく歯茎まで簡単に露出してしまいガミースマイルになります。長さにより治療法が変わりますので下の治療法は参考程度にしてください。やはり直接診ないと診断は難しいですね。
治療法
最も結果にこだわったスマイル時の露出歯茎量を減らす方法
矯正(全顎矯正)+審美クラウンレングスニング+ラミネートベニヤ
唇の上がりを抑えるだけの予備的治療
粘膜切除術
※審美治療ではありませんので気をつけてください。多少の後戻りがあり創部が美しく無いので当院では第一選択には入らない事が多いです。しかし手術は簡単です。
骨格的に鼻の下から前歯の先端までが長い方のガミースマイル治療 1例





2 顔面骨格には問題無いがスマイル時に上口唇が過剰に引き上がってしまう人
口唇を引き上げる筋肉が発達しすぎている為スマイル時に歯茎が沢山露出してしまうガミースマイルです。
治療法
ボツリヌス注射・審美クラウンレングスニング (審美要求が高いならばラミネートベニヤも行う)・粘膜切除術
審美クラウンレングスニング+ラミネートベニヤ ガミースマイル治療の1例


3 顔面骨格に問題無いが前歯の根に該当する部分の骨の隆起が過剰な人
スマイル時に口唇が引き上げられ前歯の根の付け根部過剰な骨隆起部分に上口唇が乗ってしまい、唇引っかかりで歯茎部分が露出してしまうガミースマイルです。骨隆起患者様は意外に多いので唇が引っかかる感じの人は鏡で見てみましょう。
治療法
審美クラウンレングスニング+骨隆起除去・粘膜切除術

青丸で囲んだ部位の骨が隆起してます。そこに上がった口唇が引っかかりガミースマイルになる方は多いです。除去しましょう。

写真の患者様は骨隆起に乗っかってしまうタイプです。骨隆起除去+審美クラウンレングスニング+ラミネートベニヤ治療で改善しました。下の写真のように改善し3ヶ月後の結婚式に間に合いました。上唇が骨隆起に引っかかって無いので以前より上唇が上がらなくなりました。

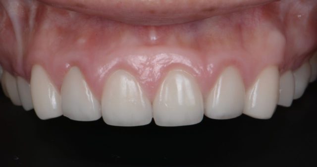
4 顔面骨格に問題は無いが歯が歯茎にめり込んでいる(歯茎の量が多くて歯が小さく見える)
治療法
審美クラウンレングスニングまたは、審美クラウンレングスニング+ラミネートベニヤ治療
審美クラウンレングスニング+ラミネートベニヤ治療の1例





5 歯並びの不正・骨格的に出っ歯
ガミースマイルの患者様の多くは歯並びの悪さもあります。上記4つに加えて歯並びの不正が加わりますとガミースマイルがより強調されてしまい、審美に影響します。
治療法
矯正+上記治療法のどれか


この様なケースは必ず矯正が必要になります。この方は歯列不正+骨格不正+咬合不正+上口唇の過剰な引き上げ+歯茎の被り過ぎ+審美的に不正なスマイルライン+歯肉ラインの不揃い+骨隆起など要因が多いため 全顎矯正後に審美クラウンレングスニング+骨隆起除去などを行います。
以下のケースも矯正から治療スタートします。強い歯列不正もガミースマイル治療時には必ず歯列不正を治してからガミースマイル治療に移行します。
以上 簡易的によくみるケースを順位別に1位から順に挙げてみました。
ご自身の状態と当てはまはない方もいらっしゃるかと思いますが必ず適切な治療法があります。ガミースマイル治療は簡単ではありません。ましてやすぐ解決などという安くて早くて簡単では決してありません。治療に入る場合はそれなりの覚悟は必要です。簡単解決など言わず正しい治療をしてくれるクリニックに行く事を推奨します。
今度は治療そのものに焦点を当てます。
ガミースマイル治療と一言でいっても大きく分けて3つに大別されます。
1. 永続的では無い治療
永続的とは半永久的に保たれ事を指します。この永続的では無い治療とは字の如く短期間のみガミースマイルを減弱させる治療です。代表的な治療はボツリヌス注射通称ボトックスです。ガミースマイルの主たる原因である上口唇を引き上げる筋肉の運動をボツリヌス毒により制限する治療法です。効果が持続する期間が最大3ヶ月 通常は2ヶ月程度と短くかつ唇の上がる量までは微調整が出来ない等ガミースマイル治療の補助的な治療です。
長所:歯を削ることや外科は無い すぐに結果が期待できる
短所:治療結果は審美的ではない
2.半永続的治療法
ガミースマイルを軽減させる治療法として数年間は期待出来る治療法の分類になります。基本的に後戻りをしてしまう治療が半永続的治療に該当します。歯茎のみを切除する歯槽骨切除をしない歯冠長延長術(審美クラウンレングスニング)は半永続的治療になります。歯槽骨切除と書いてある理由は話がややこしいのですが歯槽骨切除する審美クラウンレングスニング(歯冠長延長術)歯茎を切り開き骨も削る手法と歯槽骨切除をしないで行う審美クラウンレングスニング(歯冠長延長術)があります。レーザーで簡易的に行われる歯茎のみの切除はこれに当てはまります。大変簡易的ですが必ずある程度の後戻りを起こします。ネット情報の歯冠長延長術という言葉には2種類ある事の説明が必須になります。何故なら歯槽骨切除を伴う歯冠長延長術(審美クラウンレングスニング)は後戻りしない永続的治療に該当するからです。結果が全く違います。
利点: レーザーのみで行う事ができるので非常に簡単で術後の痛みも無い
欠点: 後戻りが必ず起こる 歯槽骨から削る事が大切
歯肉切除術も経年的に後戻りします。組織学的に筋肉付着と軟組織の手術は理屈的にも必ず治る力が働くのです。後戻り量と期間は手術内容や個人差がありますがあまり期待しない方がいいです。
利点: 簡便な手術で術後疼痛はあまり無い 早い段階で唇が上に上がらなくなるのでガミースマイルは軽減される
欠点: 術後の傷が汚い 審美治療とは言えない引きつりが出る笑顔になる患者もいる 後戻りがある
3 永続的治療
永続的治療とは後戻りを起こさない治療法です。前述した歯槽骨切除する審美クラウンレングスニングや同時に行うラミネートベニヤは永続的にガミースマイルを解決してくれます。
利点: 後戻りが無い ラミネートベニヤ治療を同時にする事で患者様が望む事が自由にできる。歯の色・形・表面性状・角度・スマイルライン・更に歯肉の審美性(歯冠乳頭の審美性)と健康性まで圧倒的に美しくできる。ガミースマイル治療の最高峰である
欠点: 治療が不慣れだと大変な失敗になる 歯を削る必要がある
他院の失敗 技術力が問われる
同じケース 当院にて4ヶ月かけて再治療審美改善出来て患者様も安心していただいた

クラウンレングスニングとラミネートベニヤ治療のコンビネーションはガミースマイル治療の最高峰だが一つ間違えると大変な事になる治療法です。主治医先生と慎重に話し合う事と技術が確かなのか何症例か提示してもらう方がいいでしょう。
歯科矯正は永続的治療です。
利点: 歯を削る必要が無い 審美クラウンレングスニングでは手に負えないくらい飛び出した歯も理想的な位置に治したり 傾きが酷くて手術ではどうしようもない歯を理想的な傾きに治せる 審美クラウンレングスニングの前処置としてとても大切 歯並びを整える事が出来る
欠点: 何年もかかる 矯正だけでガミースマイルの治療はあまり効果が無い。時間と費用の割には結果が期待値を下回る事がほとんど(当院で2番目に多い相談はガミースマイル矯正治療後に改善が納得出来てない患者)
以上 ガミースマイルの患者様を沢山治しているドクターの立場から忖度無しで意見を書かせていただきました。ガミースマイル治療を考えている患者様に少しでもお力になれたら幸いです。 ガミースマイル治療は簡単ではありません 慎重に治療法を選択してください。
合わせて読んで欲しい記事
執筆者情報

院長/歯科医師
中澤 玲 Rei Nakazawa
岩手医科大学歯学部を卒業した後、すぐに顎関節治療の勉強に没頭し、 多面的な目線で顎関節の治療を行う。 その後、アメリカ・ボストン大学に留学し、世界で注目される治療や歯科材料に目を向け研鑽し、審美治療やインプラント治療においては、ドイツ大手のインプラント会社のインターナショナルインプラントインストラクターに任命され、活躍している。
日本インプラント学会、ブラジル審美治療学会論文投稿や歯科雑誌への執筆、2013、2014年とブラジル審美治療Marcelo Daltro先生を個人的に日本に招聘し共同で講演活動を行う。インプラントの本場ドイツでもFrank Zastrow先生と講演活動を行っている。 2014年はドイツのインプラント専門医達の間では解消されていない問題である『顎関節症とインプラント治療』についての講演を行った。
世界でも著名な審美治療医師の一人、Dr.Iñaki Gamborenaと共同講演を日本GC社で開催。高水準のディスカッションにより多数の賞賛を得た。自身でも若手歯科医師向け年間コースを2014年に開設し、日本国内でも各地で講演中。




