ここまで変わるガミースマイル
患者様情報
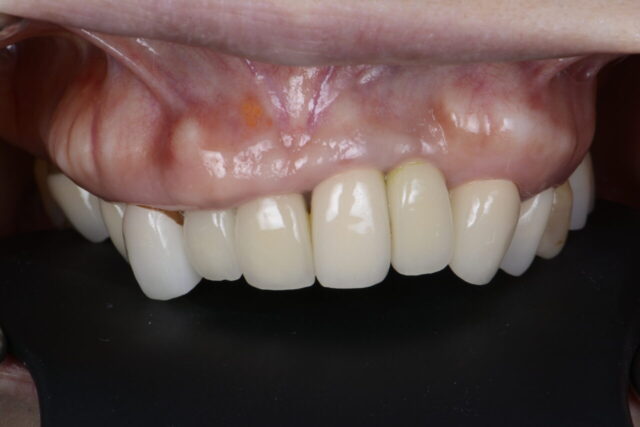
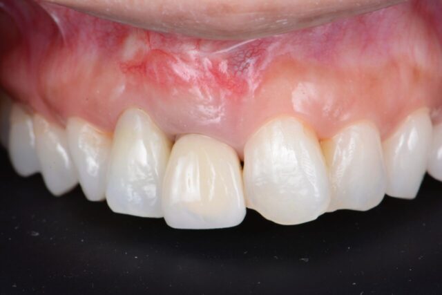
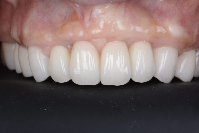
【年齢】32歳
【来院理由】ガミースマイルを改善したい
【処置】クラウンレングスニング・ラミネートべニア
【費用】120万円
この可哀想な患者様は、ガミースマイルの改善を主訴にインターネット上で安くて良さそうに見えた都心の歯科クリニックを受診しました。
しかし、そこで待っていたのは本当の地獄だったと泣きながら話してくれました。
なぜそのようなことになったのか、そうならないためにはどうしたらいいのか、治療法をご紹介いたします。
当クリニックの
ガミースマイル治療について
ガミースマイル治療の症例Case
?>Case01笑顔を映える様にしてほしい!
ガミースマイルを改善してほしい!
BEFORE
AFTER
- 年齢
- 20歳
- 来院理由
- 歯の見え方が少ない為 笑顔が映えないのが悩み
- 処置
- 歯が短く、歯並びが悪いのをラミネートベニアで改善。
歯茎ラインの不正と若干のガミースマイルを歯肉整形手術にて改善 - 結果
- お会いする度に「最高に幸せになりました!思い切ってやって良かったです!毎日が楽しい!」
Case02結婚式前撮りという限られた時間内であったが
ガミースマイルが完全に改善
BEFORE
AFTER
- 年齢
- 32歳
- 来院理由
- 結婚式までに他院でのインビザラインの失敗を改善して欲しい。
- 処置
- ガミースマイルの改善の為 歯肉・骨 整形手術
セラミック - 結果
- 最終の歯が入って患者様が喜びと安心からか涙を流されていたのが印象的であった。

Second opinion
口元のコンプレックスを改善し
自信のある笑顔を取り戻しませんか?
リリアーナデンタルクリニックの患者様は、3人に1人、セカンドオピニオンやサードオピニオンとしてご来院されています。
他院で治療困難と判断された患者様の為にも、患者様の不安を軽減し、しっかり耳を傾けながら精密で丁寧な治療をご提案させて頂いております。
お口元まわりや治療のことでお悩みやお困りのことがございましたら、リリアーナデンタルクリニックGINZAまでお気軽にご相談ください。
『美』と『健康』は
カウンセリングからCounseling
患者様のお悩み・ご要望を聞かせていただき、患者様ごとに適した治療方法についてご提案させていただくためカウンセリングを行っております。また、別の院で受けた治療案で迷われる方はセカンドオピニオンをご活用ください。大切な歯を守るためにも、お気軽にご相談ください。予約制となりますので、お電話またはオンラインからお申し込みください。(セカンドオピニオンのカウンセリングは、有料となります。)
お悩みに合わせ、
歯科医が審美治療を提案しますAesthetic
審美・美容面からの歯科治療
一般歯科治療
機能や健康面からの歯科治療
Contact us
リリアーナデンタルクリニックGINZAへの治療相談、お問い合わせはこちらからお願いいたします。
フォームで治療相談ご希望の方は「気になる症状や部位」「どのような治療を希望するのか」など
詳しくご記入していただけると診察がスムーズになります。
セカンドオピニオンも受け付けておりますので、ご希望の方はその旨をお伝えください。
また無断キャンセルや当日キャンセルは出来る限りしないようにお願い致します。
詳しくはキャンセルポリシーをお読みください。
当クリニックは女性限定となっております。
ご予約の問い合わせはLINEへお願いいたします。
〒104-0061 東京都中央区銀座5-12-13
銀座伊藤ビル 4階
Doctor’s profile ドクター紹介

院長中澤 玲
患者様が歯科医院を選択する際、治療のクオリティを重視し、かけた費用以上に「結果」を期待することは当然です。当クリニックは患者様の希望や思いに応えるためにも、院長が過去に様々な現場を体験し、より高い治療品質を求めて海外で研鑽した技術を提供できたらと思います。また治療の品質向上に日々努めています。以下より詳細にお話ししたいと思います。
Tik Tok 中澤医師のぶっちゃけ話しを発信中
@dr_rei_nakazawa
case blog 症例ブログ
-
インプラント前歯のインプラント
審美・咬合回復
-
before
-
after
主訴 審美・咬合回復 治療 前医の治療が全てにおいて失敗しておりインプラントを含めて補綴・インプラントの再修復。
クラウンレングスニングと複数回のGBR(骨増生)とCTG(歯茎移植)とセラミッククラウンによる補綴再生。費用 500万 治療期間 15ヶ月 備考 【リスク・副作用】
他院治療により痛めつけられた歯が弱っている。
インプラントの位置が3次元的にめちゃくちゃである。
元々食い縛りが酷いため歯がダメにならないように夜間マウスピースにより歯軋り食い縛りによる補綴物の破壊を予防。 -































