カテゴリー:
ガミースマイル治療・こだわりのスマイルラインを追求
-
before
-
after
| 年齢 | 32歳 |
|---|---|
| 性別 | 女性 |
| 主訴 | ガミースマイル治療とスマイルラインを治したい |
| 治療 | 患者様は初診からスマイルラインの改善を熱望されていた。ガミースマイルは中程度と診断され、 骨格的には問題無いと診査・診断 審美クラウンレングスニング(コラム参照https://www.lilianadentalclinic.com/2021/04/16/852/)を行い ラミネートベニヤ治療を行なった。 こだわりのスマイルラインは仮歯で何度も調整し 仮歯の段階で納得いったので最終ラミネートベニヤをセットした。 |
| 費用 | 前歯6本審美クラウンレングスニング+ラミネートベニヤ+審美専門技工士作成仮歯二回作成 約140万 |
| 治療期間 | 5ヶ月(治癒期間3ヶ月含む) 8回 |
| 備考 | 患者様のこだわりだったスマイルラインとガミースマイル治療を美しく完了できた。 大変満足していただいた。 |
初診

中程度のガミースマイル
初診

歯が小さく形が不揃い
審美クラウンレングスニング治療

約3ミリ歯肉と歯槽骨を整形
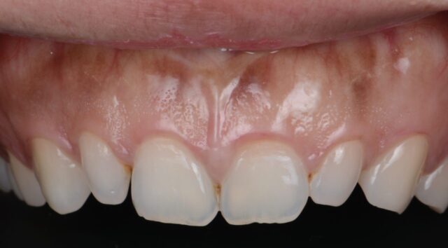
審美クラウンレングスニング治癒

手術後10日目
最終ラミネートベニヤセット

最終ラミネートベニヤセット後 1年経過
歯肉と歯が美しく調和して健康な歯肉である
最終ラミネートベニヤセット

美しいスマイルラインになり大満足していただいた。
執筆者情報

院長/歯科医師
中澤 玲 Rei Nakazawa
岩手医科大学歯学部を卒業した後、すぐに顎関節治療の勉強に没頭し、 多面的な目線で顎関節の治療を行う。 その後、アメリカ・ボストン大学に留学し、世界で注目される治療や歯科材料に目を向け研鑽し、審美治療やインプラント治療においては、ドイツ大手のインプラント会社のインターナショナルインプラントインストラクターに任命され、活躍している。
日本インプラント学会、ブラジル審美治療学会論文投稿や歯科雑誌への執筆、2013、2014年とブラジル審美治療Marcelo Daltro先生を個人的に日本に招聘し共同で講演活動を行う。インプラントの本場ドイツでもFrank Zastrow先生と講演活動を行っている。 2014年はドイツのインプラント専門医達の間では解消されていない問題である『顎関節症とインプラント治療』についての講演を行った。
世界でも著名な審美治療医師の一人、Dr.Iñaki Gamborenaと共同講演を日本GC社で開催。高水準のディスカッションにより多数の賞賛を得た。自身でも若手歯科医師向け年間コースを2014年に開設し、日本国内でも各地で講演中。
