カテゴリー:
インプラントを伴うガミースマイル審美治療
-
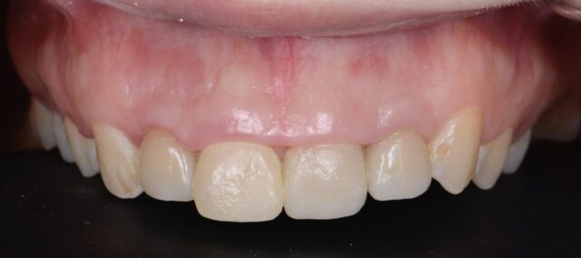
before
-
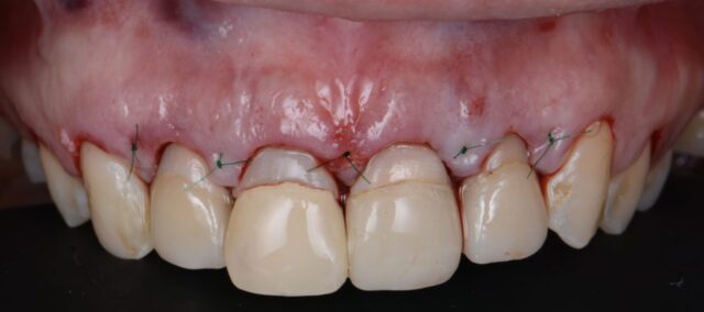
after
| 年齢 | 26歳 |
|---|---|
| 性別 | 女性 |
| 主訴 | 口元を綺麗にしたい |
| 治療 | 診査・診断を行い。ガミースマイルと上前歯の前医が入れたクラウンの審美障害、下の前歯の不揃い、右上側切歯の破折等が主な問題であった。多くの問題が同時多発的に存在し難易度が高いケースであり外科手術と補綴を絡めたら処置が妥当であると判断した。前歯をクラウンレングスニングして骨格的に噛み合わせ的に審美的に問題ないのかを総合的に判断し前歯8本のクラウンレングスニング(コラム参照)を行い理想的な歯茎ラインを外科的に作製。 治癒後前医の前歯補綴物を外し仮歯へ、更に折れていて使えない右上側切歯を抜歯即時インプラント。他前歯の前医が行った根管治療・コア築造もすべてやり直した。インプラントと骨がつくまで2ヶ月後にCTGにて審美的な厚みをもたせた。治癒を待つ為その間に下前歯の部分矯正。奥歯も多数虫歯と歯の欠損がある為インプラント治療と虫歯治療・クラウン治療を進め、奥歯噛み合わせしっかりと構築した。奥歯がしっかりした段階で前歯が綺麗に治癒したので、インプラントにはカスタムアバットメント(コラム参照)をセットし 他前歯に審美性の高いセラミックスクラウンをセット、歯間乳頭(コラム参照)が美しく回復し歯肉が美しい健康的な色になり噛み合わせが良い事を確認し治療とした。 |
| 費用 | 前歯クラウンレングスニング+セラミックスクラウン+下顎部分矯正+抜歯即時インプラント+カスタムアバットメント+CTG+仮歯(3回作製) +前歯すべて根管治療+コア築造 約240万 |
| 治療期間 | 約12ヶ月 (奥歯治療含む) |
| 備考 | 難易度が高い フルマウスリコンストラクション(コラム参照)であり、高い技術力・高い知識・豊富な経験・患者様の懸命な努力 が必要なケースであったが患者様が本当に頑張ってくれた事に感謝したい。 |
初診

抑え気味なスマイルだが中等度以上のガミースマイル
初診

前医の補綴物の審美不良と歯間乳頭の審美不良
どちらも問題がある
クラウンレングスニングオペ直後

クラウンレングスニングオペ直後
最小限の外科的侵襲
クラウンレングスニング後10日目

クラウンレングスニングオペ後10日
インプラント埋入

破折している右上側切歯を抜歯と同時にインプラント埋入
仮歯

右上側切歯以外を仮歯に置き換え、審美治療スタートライン
ファイナルセラミックスクラウン

最終的なセラミックスクラウンとインプラントアバットメント
治療終了

最終的なセラミックスクラウンとインプラントアバットメントが入り1ヶ月
周囲歯肉が調和している。
歯間乳頭に注目
治療終了

美しく健康的なスマイルライン
治療終了

ガミースマイルの改善と美しいスマイルラインが達成され大満足な結果になった
執筆者情報

院長/歯科医師
中澤 玲 Rei Nakazawa
岩手医科大学歯学部を卒業した後、すぐに顎関節治療の勉強に没頭し、 多面的な目線で顎関節の治療を行う。 その後、アメリカ・ボストン大学に留学し、世界で注目される治療や歯科材料に目を向け研鑽し、審美治療やインプラント治療においては、ドイツ大手のインプラント会社のインターナショナルインプラントインストラクターに任命され、活躍している。
日本インプラント学会、ブラジル審美治療学会論文投稿や歯科雑誌への執筆、2013、2014年とブラジル審美治療Marcelo Daltro先生を個人的に日本に招聘し共同で講演活動を行う。インプラントの本場ドイツでもFrank Zastrow先生と講演活動を行っている。 2014年はドイツのインプラント専門医達の間では解消されていない問題である『顎関節症とインプラント治療』についての講演を行った。
世界でも著名な審美治療医師の一人、Dr.Iñaki Gamborenaと共同講演を日本GC社で開催。高水準のディスカッションにより多数の賞賛を得た。自身でも若手歯科医師向け年間コースを2014年に開設し、日本国内でも各地で講演中。
