カテゴリー:
審美・咬合回復
インプラント前歯のインプラント
-
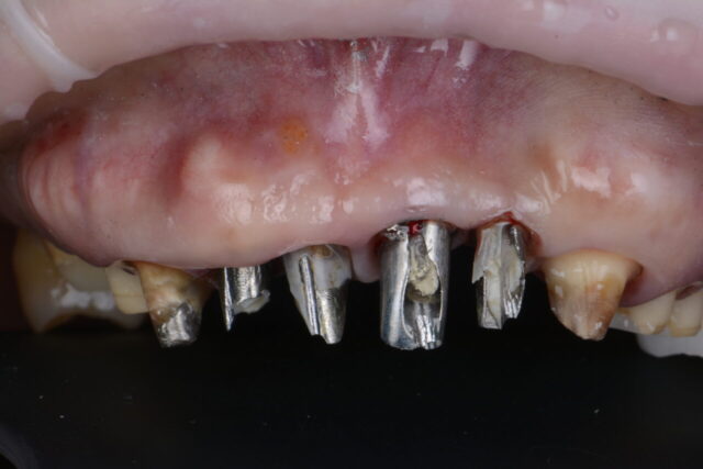
before
-
after
| 主訴 | 審美・咬合回復 |
|---|---|
| 治療 | 前医の治療が全てにおいて失敗しておりインプラントを含めて補綴・インプラントの再修復。 |
| 費用 | 500万 |
| 治療期間 | 15ヶ月 |
| 備考 | 【リスク・副作用】 他院治療により痛めつけられた歯が弱っている。 インプラントの位置が3次元的にめちゃくちゃである。 元々食い縛りが酷いため歯がダメにならないように夜間マウスピースにより歯軋り食い縛りによる補綴物の破壊を予防。 |





執筆者情報

院長/歯科医師
中澤 玲 Rei Nakazawa
岩手医科大学歯学部を卒業した後、すぐに顎関節治療の勉強に没頭し、 多面的な目線で顎関節の治療を行う。 その後、アメリカ・ボストン大学に留学し、世界で注目される治療や歯科材料に目を向け研鑽し、審美治療やインプラント治療においては、ドイツ大手のインプラント会社のインターナショナルインプラントインストラクターに任命され、活躍している。
日本インプラント学会、ブラジル審美治療学会論文投稿や歯科雑誌への執筆、2013、2014年とブラジル審美治療Marcelo Daltro先生を個人的に日本に招聘し共同で講演活動を行う。インプラントの本場ドイツでもFrank Zastrow先生と講演活動を行っている。 2014年はドイツのインプラント専門医達の間では解消されていない問題である『顎関節症とインプラント治療』についての講演を行った。
世界でも著名な審美治療医師の一人、Dr.Iñaki Gamborenaと共同講演を日本GC社で開催。高水準のディスカッションにより多数の賞賛を得た。自身でも若手歯科医師向け年間コースを2014年に開設し、日本国内でも各地で講演中。
