抜歯後に歯茎がへこむ理由|前歯インプラント・歯茎移植・失敗を防ぐポイント
【最終更新日:2026年3月13日】
今回はインプラント治療について、患者様向けにわかりやすく解説します。
インプラントは歯を失ってしまった、またはこれから抜かなければならない歯の代替治療として、現在では非常に一般的な歯科治療になっています。
しかし患者様にとって、費用、外科処置、治療期間、長期管理など、決して小さな治療ではありません。
そのため正しい知識を持つことがとても大切です。
今回は
- 歯を抜くことで起きる問題
- インプラントとはどんな治療か
- 歯茎の移植でへこみを改善し、前歯にインプラントを入れたケースの紹介
- インプラントの失敗と弱点
この4つをまとめて解説していきます。
歯を抜くと何が起こるのか
まず最初に理解していただきたいのが歯を抜いた後の変化です。
歯を抜く理由は人それぞれです。
例えば
- 虫歯が進行して歯として使えなくなった
- 歯周病が進み骨がなくなってしまった
- 歯の根の病気が進行した
- 歯の生え方が悪い
- 差し歯が何度も外れる
- 歯根破折(歯が割れてしまった)
- その他の理由で歯が割れた
- 歯茎が何度も腫れる
- 根の治療がうまくいかない
- その他の理由
など様々です。
しかし理由が何であっても必ず起きる変化 があります。それが歯茎と骨の吸収です。
歯を抜いた場所の骨と歯茎は抜歯したその日から少しずつ小さくなります。
イメージとしては採れたての柿が干し柿になると小さくしぼむようなものです。
歯茎と骨も同じように徐々に萎んでいき、写真の青丸のような状態になってしまいます。

その結果、「歯茎がへこむ」「骨の量が減る」「見た目が悪くなる」という問題が起きます。
特に 前歯(審美エリア) ではこのへこみがとても目立ってしまいます。
抜歯後のタイミングが重要
インプラント治療では歯を抜いた後のタイミング がとても重要です。
骨や歯茎が大きく吸収してしまうと
- インプラントが入らない
- 骨造成が必要になる
- 審美的に不利になる
など多くの問題が出てきます。
一般的な目安は次の通りです。
感染が大きい場合
骨が大きく失われている場合は骨の再生を待つ必要があります。
約3〜6ヶ月待ってからインプラントを行うことになります。
感染が少ない場合
通常は抜歯後8〜12週間でインプラントを埋入します。
これ以上待つと骨や歯茎が大きく吸収してしまいます。
条件が良い場合
抜歯と同時にインプラントを入れる方法もあります。
これは「即時インプラント」と呼ばれる方法で条件が整えば最も早く、審美的にも良い結果が得られます。
インプラントとは何か
インプラントとはチタン製のネジを骨の中に埋め込む治療です。
このネジを骨に埋め込み、約3ヶ月ほどで骨と結合します。
骨とインプラントが結合した後その上に人工の歯を取り付けます。
こうして天然の歯のように噛める歯を作ることができます。
インプラントは50年以上の歴史があり世界中で多くの患者様を救ってきました。
正しく行えば非常に長持ちする治療です。
実際、私自身の口の中にも15年前に入れたインプラントがありますが一度もトラブルは起きていません。
インプラントはなぜ高いのか
インプラント治療は高額になることが多いですがその理由はいくつかあります。
まず材料費です。
インプラントは海外メーカーの製品が多く、輸入代理店、流通、税金などが関わるため材料費が高くなります。
また手術、診断、技工物、部品など多くの工程が必要になるため治療費が高くなるのです。
インプラントの失敗と弱点
インターネットを見ると「インプラントは危ない」「インプラントは失敗する」という情報を見かけます。
では実際にどのような失敗があるのでしょうか。
代表的なものを説明します。
1.見た目が悪いインプラント
前歯のインプラントで「歯茎の形が不自然」「歯の位置が悪い」というケースがあります。
原因のほとんどはインプラントの位置が悪いことです。
インプラントは三次元的に正確な位置に入れる必要があります。
位置が悪い場合インプラントを一度抜いて、骨造成や歯茎移植などを行い再度治療する必要があります。
2.噛むと痛い
インプラントは骨と結合しているため通常は噛んでも痛みは出ません。
もし痛みがある場合、骨との結合が失われていることやネジが緩んでいるなどの問題が考えられます。
骨との結合が失われている場合
インプラントの除去が必要になることがあります。
3.部品の破損
インプラントを長年使用するとネジの緩みやアバットメントの破損などが起きることがあります。
多くの場合、部品交換やネジの締め直しで改善できます。
4.インプラント周囲炎
インプラントも歯周病のような病気になります。
これをインプラント周囲炎と呼びます。
インプラント周囲炎の原因として多いのは清掃不良、インプラント位置不良、部品の破損などです。
インプラント周囲炎にならないようにするために重要なことの一つは、インプラントを正しい位置に入れることです。
歯茎の移植でへこみを改善し、前歯にインプラントを入れたケース
前歯のインプラント治療を長持ちさせるためには、いくつか重要な条件があります。
ここでいう「長持ち」とは15年以上安定して使えることを指します。
インプラントが長期的に安定するためには、次の 3つの要件 がとても大切です。
- インプラントの部品が壊れない・ネジが緩まない
- インプラントが感染しない環境が整っている
- 噛み合わせが正しく調整されている
1 .インプラントの部品が壊れない・ネジが緩まない
この条件を満たすために大切なのは「インプラント材料の品質」と「インプラントを埋入する歯科医師の技術」にあります。
インプラント材料の品質について、多くの歯科医院では、海外メーカーの有名ブランドのインプラントを使用しています。
こうしたメーカーの製品であれば、通常は品質に大きな問題はなく、長期的な使用にも十分耐えられる設計になっています。
一方で注意が必要なのが、個人制作のインプラントやコピー製品などの安価なインプラントです。これらは強度や精度の面で問題がある場合があり、長期間使用しているうちに部品が破折したり、ネジが緩んだりするトラブルが起こる可能性があります。
インプラントは体の中に長期間入る医療機器です。治療を受ける際には、どのメーカーのインプラントを使用しているのかを確認し、信頼できるメーカーの製品を使用しているかを知っておくことが大切です。
歯科医師の技術について、インプラント治療では、材料だけでなく歯科医師の技術も非常に重要です。
インプラントは顎の骨の中に埋め込む治療ですが、その際には歯の方向と平行に、できるだけまっすぐ埋入することが重要になります。
専門的には、咬合平面に対して軸方向に垂直に埋入すると表現されます。もしインプラントが大きく斜めに入ってしまうと、噛んだときの力のかかり方が偏り、インプラントの部品に余計な負担がかかってしまいます。その結果、ネジの緩みや部品の破折といったトラブルにつながる可能性があります。
もちろん多少の角度の違いであれば問題になることは少ないのですが、インプラントを長期的に安定させるためには、できる限り正確な位置と角度で埋入することが重要です。
写真のインプラントは歯に対して真っ直ぐ入ってます。このように打つべきです。

こうした基本的な条件を満たすことが、インプラント治療を長持ちさせるための大切なポイントになります。
2 .インプラントが感染しない環境が整っている
ここでは、Aさんの実体験を紹介します。
2019年の夏、手術により無事一本のインプラントが下あごの骨の中に入りました。
3ヶ月後には骨とインプラントもきちんと結合したようで、その後セラミックのきれいな歯も入れてもらいました。
よく噛めるし、痛みも腫れもありません。「これで安心!」と思っていたそうです。
ところが、インプラントを入れてからわずか2年後、歯茎が腫れてきてしまいました。
主治医の先生がインプラント部分のレントゲンを撮り、「インプラントの部品は壊れていませんね。どうやらインプラントが歯周病のような感染を起こしているようです」と言われたそうです。
しかも原因は、インプラント部分の歯ブラシが不十分だったのではないかとのこと。
「確かに面倒であまり磨かなかった日もあったけれど、ほとんど毎日きちんと磨いていたのに…私のせいなのかな?」
「定期メンテナンスにも通っていたのに…」
「確かにインプラントの歯茎は少しへこんでいて、食べかすが詰まりやすかったけれど、なぜなんだろう?」
「やっぱりインプラントは噂どおりダメなのかな…ブリッジにしておけばよかった…」
こんな話は実際によく耳にしますし、インターネットの相談でも見かける内容です。
では、なぜ歯茎が腫れてしまったのでしょうか。実際に患者さんのお口の中を見ているわけではないので断定はできませんが、おそらくインプラント周囲の感染である可能性が高いと思われます。
この場合、一見するとAさんの清掃不足が原因のように見えます。しかし、実際にはそうとは限りません。多くの場合、原因は歯科医師側にあります。
前述したように、インプラントが感染しない環境を整えることは、治療を行う歯科医師の責任だからです。
インプラント治療は、何らかの理由で歯を抜いた場所に行います。しかし歯を抜いた後の歯茎と骨は、時間とともに徐々に吸収し、約5ヶ月ほどで大きくしぼんでしまいます。
歯茎と骨がへこんでしまった状態のままインプラントを入れると、歯茎はへこんだままです。下の写真の青丸のように大きなへこみができてしまいます。
上には人工の歯が乗っていますが、歯茎は大きくくぼんでいます。
この写真は他院でインプラント治療を受けたケースですが、見た目もあまり良くなく、食べかすが詰まりやすい形をしています。


また、別の写真でも歯がない部分を見ていただくと、歯茎が大きくへこんでいるのがわかると思います。
これは歯を抜いたことで起こる自然な変化で、基本的には誰にでも起こります。
下の写真の口の歯もボロボロですね。歯がないところを見てみてください。大きくへこんでいるのがわかると思います。
このへこみも、歯を抜いたことによって起こる自然な変化です。歯を抜くと、歯茎や骨は時間とともに吸収していくため、このようなへこみは基本的に誰にでも起こります。
このように大きくへこんだ状態でもインプラントを入れること自体は可能です。
しかしそのままインプラントを入れてしまうと、インプラントを守るために必要な歯茎の厚みが不足してしまい、見た目の面でもあまり良い状態とは言えません。

このへこみを改善するための方法の一つが歯茎の移植です。
歯茎の移植は、下の写真のような手術です。インプラント部位に歯茎を移植している手術中の写真ですが、白い糸のついたピンセットでつまんでいるピンク色の組織が移植する歯茎です。これはお口の別の場所から採取したものです。(手術自体は麻酔下で行うため、ほとんど痛みはありません)

このように歯茎を移植して厚みを増やすことで、インプラント周囲の歯茎の環境を改善できます。
結果として、インプラントを感染から守ることができるだけでなく、食べかすが詰まりにくい自然な形に整えることも可能になります。
歯茎の厚みは、インプラントを守る大切な役割を果たしているのです。
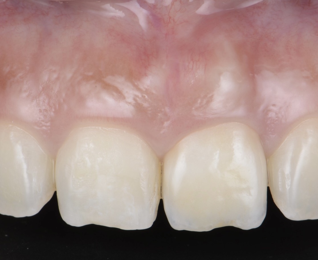
以下の写真は前歯のインプラント症例です。歯茎のへこみもなく、とても自然な仕上がりになっています。
ぱっと見ただけでは、どこがインプラントなのか分からないほどです。(左の写真の青丸がインプラントの歯です)歯茎のへこみは、歯茎移植によってしっかり改善されています。
このような状態であれば、食べかすも入り込みにくく、歯茎の厚みも十分あるため簡単に歯周病感染が起こることはありません。
インプラントにとって、より安全で安定した環境になります。
また、下の写真は奥歯のインプラント症例です。銀歯ではなく白い歯ですが、これもインプラントです。
自分の歯のように自然に見えますし、歯茎のへこみもなく食べかすが詰まりにくい形になっています。

このように、歯茎の厚みはインプラントを感染から守るだけでなく、清潔に保つことや見た目の自然さにも大きく関わっています。
手術自体は比較的シンプルな処置ですので、インプラント治療を受ける際には主治医に相談し、必要であれば歯茎の移植を行ってもらうとよいでしょう。
歯茎の厚みを改善することは、インプラントを長く守るうえでとても重要です。
インプラント周囲の歯周病から大切なインプラントを守るためにも、ぜひ知っておいていただきたいポイントです。
また、このような治療をきちんと考えているかどうかを見ることで、主治医の知識や技術の一つの目安にもなるでしょう。
3.噛み合わせが正しく調整されている
インプラント治療の目的はしっかり噛めることです。
しかし噛み合わせが悪いと、インプラントには 非常に強い力(60kg以上とも言われる咬合力) が繰り返しかかります。
その結果、ネジの緩みや部品の破損、インプラントのトラブルにつながることがあります。
そのため「歯科技工士による精密な補綴製作」と「歯科医師による噛み合わせ調整」が非常に重要になります。
また噛み合わせは年齢とともに変化します。
定期検診で噛み合わせを確認することが、インプラントを長持ちさせる秘訣です。
以上の3つを守ることで、インプラントの長期安定が期待できます。
良いインプラント治療のために
インプラント治療で大切なのは
- 正確な診断
- 適切な位置への埋
- 良質な材料
- 適切なメンテナンス
です。
患者様が歯科医院を選ぶ際には
- 診断をしっかり行っているか
- 治療計画を説明してくれるか
- 歯茎や骨の状態を考慮しているか
などを確認することが大切です。
まとめ
歯を抜くと歯茎と骨は必ず吸収します。
そのためインプラント治療では、抜歯のタイミング、骨の状態、歯茎の状態がとても重要になります。
またインプラントの成功には三次元的に正しい位置にインプラントを入れることが何より大切です。
特に前歯のインプラントは難易度が高く、歯科医師、歯科技工士、クリニックスタッフ、使用するインプラントメーカー、すべてが高いレベルである必要があります。
インプラント治療に関してさまざまなお悩みや不安がある場合、当院で解決のお手伝いができるかもしれません。
毎週、多くの先生方が治療見学に来てくださり、日々ともに研鑽を重ねております。少しでも皆様のお力になれれば幸いです。
執筆者情報

院長/歯科医師
中澤 玲 Rei Nakazawa
岩手医科大学歯学部を卒業した後、すぐに顎関節治療の勉強に没頭し、 多面的な目線で顎関節の治療を行う。 その後、アメリカ・ボストン大学に留学し、世界で注目される治療や歯科材料に目を向け研鑽し、審美治療やインプラント治療においては、ドイツ大手のインプラント会社のインターナショナルインプラントインストラクターに任命され、活躍している。
日本インプラント学会、ブラジル審美治療学会論文投稿や歯科雑誌への執筆、2013、2014年とブラジル審美治療Marcelo Daltro先生を個人的に日本に招聘し共同で講演活動を行う。インプラントの本場ドイツでもFrank Zastrow先生と講演活動を行っている。 2014年はドイツのインプラント専門医達の間では解消されていない問題である『顎関節症とインプラント治療』についての講演を行った。
世界でも著名な審美治療医師の一人、Dr.Iñaki Gamborenaと共同講演を日本GC社で開催。高水準のディスカッションにより多数の賞賛を得た。自身でも若手歯科医師向け年間コースを2014年に開設し、日本国内でも各地で講演中。






